ARE THE RETAINERS AN IMPORTANT PART OF YOUR ORTHODONTIC TREATMENT?
Getting your braces off is always a BIG DAY! But it is important to keep in mind that after your braces have been removed, the orthodontic treatment isn’t over. Retainers must be worn after your braces or Invisalign treatment, in order to keep your teeth aligned and ensure the best lasting results for the appearance of your smile
WHY DO YOU NEED TO WEAR YOUR RETAINERS AFTER BRACES?
To understand better the need for retainers, you must first understand that during an orthodontic treatment, braces entirely alter the position of the teeth and their surrounding components, including the jawbone and the soft tissues.
Some years back we used to think that after we place the teeth into their right positions, they would stay that way forever. Research over the last twenty years or so has shown that this isn’t accurate. The teeth have a natural tendency to move back into their original place. So, this is where the Retainers come in. A retainer is an orthodontic appliance that is intended to keep your teeth in alignment after the orthodontic treatment has concluded. They are responsible for maintaining the teeth in the right position after your orthodontic treatment is completed, so if not worn on a regular basis, the teeth have the potential to shift back.
ARE THERE DIFFERENT TYPES OF RETAINERS?
The answer is yes. There are multiple types of retainers. By the end of your treatment, we will discuss with you which will be the type of retainer that better suits your case to ensure the most satisfactory results. Overall, on most of my patients, I usually use two types of retainers at the same time: removable and fixed retainers.
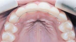
1. Fixed Retainers

Sometimes also called permanent or bonded retainers, they consist of a thin, metal wire that is attached to the backside of the front 6 teeth and is held in place with a cement-like material. Every six months, on your checkup visit with the Orthodontist, we’ll make sure that the retainer is in place and in good conditions. You should take care of it on a daily basis by brushing the area very well after every meal you take.
2. Essix / Clear retainer
They are made out of thick plastic and are worn in a way similar to the way that mouthguards are worn. Unlike fixed retainers, these types of retainers can be taken out.
3. Hawley Retainers
Hawley retainers are made out with both plastic and metal wire, they fit over the front of the teeth with the metal wire. They are also removable, just like the Clear retainers.

We usually indicate our patients to use their removable retainers, either the Clear or the Hawley type, every night during the first 6 months after removing the braces, after that period they can start using it 3 nights during the week.
As you can see, a retainer is a complete necessity for those who want to maintain their teeth straight after orthodontic treatment.
If you’re in need of orthodontic care at SMILE STUDIOS, We offer both traditional braces and Invisalign, allowing you to straighten your teeth discreetly if you wish. Making use of the best technology, we’ll do everything that is in our hands to ensure that your experience is the most comfortable one.
Contact us now to schedule an appointment!
Dr. María Isabel Fernández
Specialist Orthodontist

